贵州首例!贵州医附院骨科肿瘤团队成功实施高难度3D打印肿瘤假体置换手术
时间:2024-10-16 08:57 来源:贵州医科大学附属医院党委宣传部 作者:admin 阅读:次
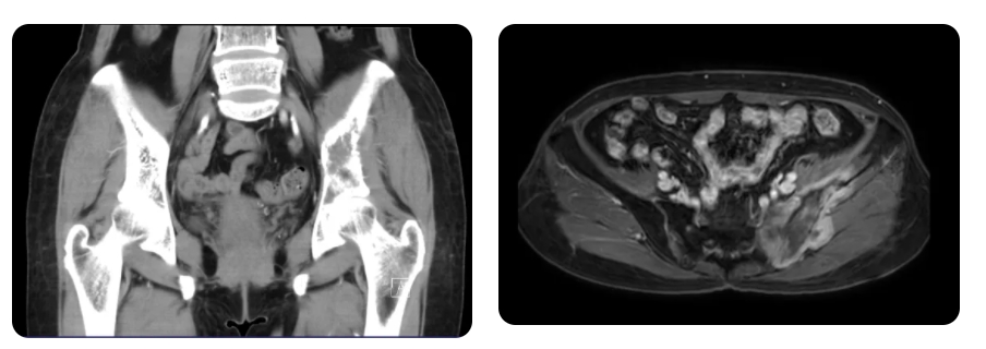
近日,贵州医科大学附属医院骨科骨肿瘤团队成功完成全省首例半骨盆 + 半骶骨切除联合 3D 打印肿瘤假体置换手术,实现了贵州骨肿瘤外科手术在累及骨盆、骶骨手术禁区的突破。患者王女士(化名),因左髋部进行性疼痛不适 4 月余且体重消瘦 3公斤,前往当地医院就诊。在当地医院经初查,考虑为左侧骨盆肿瘤,后辗转多家医院,最终于今年 7 月转至我院骨肿瘤中心。经穿刺病理检查,确诊为“骨盆恶性肿瘤骨肉瘤”。
骨肉瘤是骨骼系统最常见的原发性恶性肿瘤,其恶性程度极高,尤其在青少年中更为常见。成年人骨盆区域的骨肉瘤发病率相对较低,但由于其血行转移发生早、发生率高,病情进展迅速,治疗难度极大,因手术切除困难导致临床预后较差。王女士病情复杂,肿瘤范围广泛,累及左侧骨盆及左侧骶骨,因骨盆骶骨区域解剖结构复杂,涉及泌尿系统、消化系统、大血管、大神经等,手术难度极大。
面对这一复杂病情,骨科肿瘤团队进行了综合评估,决定为患者实施左骨盆肿瘤 + 左侧骶骨肿瘤瘤体完整切除 + 3D 打印肿瘤假体置换手术。3D 打印肿瘤假体可量体裁衣,个体化重建肿瘤切除后的骨缺损,其微孔结构能实现假体与自体骨骨性愈合,提高长期稳定性,延长使用时间,这样不仅为患者成功保肢,还最大可能地保留肢体功能。
此次手术过程复杂,术前需评估患者身体机能及肿瘤,包括切除范围、重建方式、手术体位、术中出血控制等,手术通常需术中变换 2 - 3 个体位,手术时间 6 - 8 小时左右。骨肿瘤团队克服重重困难,历经7小时,成功完成肿瘤瘤体完整切除,并植入 3D 打印肿瘤假体,达到预期效果。
目前,王女士恢复良好,肿瘤控制稳定,肢体功能恢复满意。这一手术不仅为王女士保留了肢体,还最大程度保留了肢体功能,提高了其生活质量。
骨科主任宁旭表示,我院是贵州省骨肿瘤专业质控组长单位,骨肿瘤专业是贵州省成立最早、规模最大、收治病例数最多、诊治能力最强的专业,是全国为数不多的能够熟练开展骨盆、骶骨肿瘤切除重建的单位,在骨肉瘤诊治方面积累了丰富的经验。目前,科室引进了2台捷迈骨科机器人,进一步提升了对于疑难、复杂手术病例的治疗能力。
来源:贵州医科大学附属医院党委宣传部
骨肉瘤是骨骼系统最常见的原发性恶性肿瘤,其恶性程度极高,尤其在青少年中更为常见。成年人骨盆区域的骨肉瘤发病率相对较低,但由于其血行转移发生早、发生率高,病情进展迅速,治疗难度极大,因手术切除困难导致临床预后较差。王女士病情复杂,肿瘤范围广泛,累及左侧骨盆及左侧骶骨,因骨盆骶骨区域解剖结构复杂,涉及泌尿系统、消化系统、大血管、大神经等,手术难度极大。
面对这一复杂病情,骨科肿瘤团队进行了综合评估,决定为患者实施左骨盆肿瘤 + 左侧骶骨肿瘤瘤体完整切除 + 3D 打印肿瘤假体置换手术。3D 打印肿瘤假体可量体裁衣,个体化重建肿瘤切除后的骨缺损,其微孔结构能实现假体与自体骨骨性愈合,提高长期稳定性,延长使用时间,这样不仅为患者成功保肢,还最大可能地保留肢体功能。
此次手术过程复杂,术前需评估患者身体机能及肿瘤,包括切除范围、重建方式、手术体位、术中出血控制等,手术通常需术中变换 2 - 3 个体位,手术时间 6 - 8 小时左右。骨肿瘤团队克服重重困难,历经7小时,成功完成肿瘤瘤体完整切除,并植入 3D 打印肿瘤假体,达到预期效果。
目前,王女士恢复良好,肿瘤控制稳定,肢体功能恢复满意。这一手术不仅为王女士保留了肢体,还最大程度保留了肢体功能,提高了其生活质量。
骨科主任宁旭表示,我院是贵州省骨肿瘤专业质控组长单位,骨肿瘤专业是贵州省成立最早、规模最大、收治病例数最多、诊治能力最强的专业,是全国为数不多的能够熟练开展骨盆、骶骨肿瘤切除重建的单位,在骨肉瘤诊治方面积累了丰富的经验。目前,科室引进了2台捷迈骨科机器人,进一步提升了对于疑难、复杂手术病例的治疗能力。
来源:贵州医科大学附属医院党委宣传部
(责任编辑:admin)
最新内容
热点内容


Forte3D利用3D打印技术大
LEAP 71测试AI生成的20kN
中航重机拟向子公司中航天
航空航天3D打印市场加速起
3D打印赋能精准骨科:3D S
加沙医生在资源匮乏地带利
起亚EV2概念车搭
波音首次采用3D打
Contour3D在悉尼
英国迈凯伦汽车与
越南Vinmec医疗集
