滨医附院足踝外科成功实施首例3D打印距骨部分假体置换
时间:2024-07-17 13:44 来源:滨州医学院附属医院 作者:admin 阅读:次
近日,滨州医学院附属医院足踝外科刘颖教授团队成功为一位距骨巨大骨囊肿病人实施了鲁北首例3D打印距骨部分置换术。目前手术效果满意,患者随访良好。
患者陈某某(化名),男,74岁,平日喜欢运动,爱打乒乓球。7个月前开始出现左踝部疼痛不适,活动后踝部肿胀,难以继续运动。陈某曾去多家医院求医,被告知踝部关节炎需要做关节融合手术,但是融合之后可能会丧失运动功能。陈某对此心有不甘,为此来到刘颖教授门诊,得知自己踝关节距骨有一个巨大囊肿,并伴有距骨软骨损伤,刘教授决定使用3D打印距骨部分置换治疗距骨囊肿。
陈某回忆说:“当我听到刘教授说,可以通过3D打印技术,填补上距骨这个窟窿,术后还可以继续运动,内心是无比激动的,因为自己又可以重返运动”。

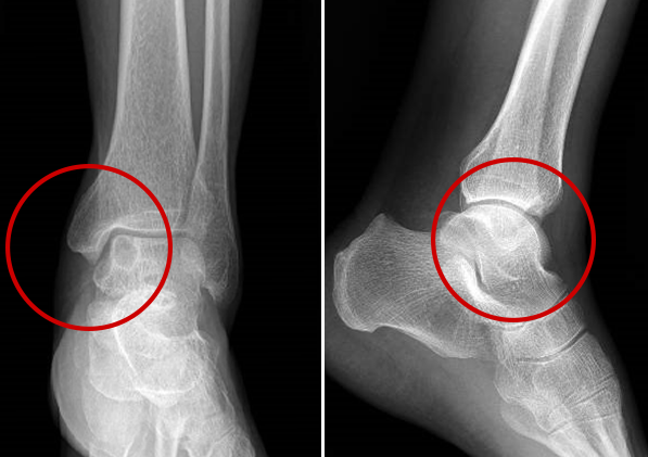
术前X线
陈某在滨医附院足踝外科住院后,刘颖教授医工团队经过数据采集、3D打印制作截骨导板假体,并实施手术。

术后X线
目前,患者正在积极康复中,且步态良好,疼痛明显缓解。(薛阳)
文章来源:新华网 如有侵权联系删除
(责任编辑:admin)
最新内容
热点内容


快造科技官宣完成数亿元 B
湖北国资战略入股超卓航科
“推动3D打印设备进课堂”
中国启动4.5亿元3D打印卫
2025年中国两院院士增选结
滨州医学院附属医院与嘉一
忍痛5年,福州依
创想三维2023全球
上海交大谷国迎教
3D打印假体植入内
FRI:降脂油包水
少年骨折后感染致
